Which condition is most likely depicted in this image?

What is the adrenal disorder that produces excessive secretion of aldosterone?
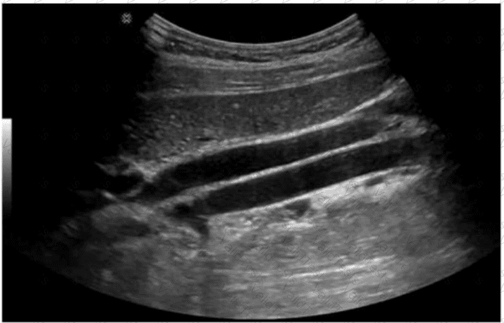
Which scanning approach was utilized to obtain this image?

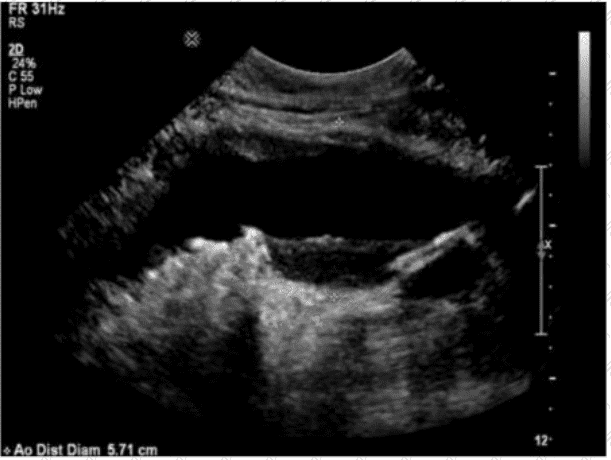
Which sonographic finding is most consistent with this image of the abdominal aorta?

During a renal artery Doppler study, which vessel should also be sampled to verify patency?
Which liver neoplasm is associated with use of oral contraceptives and is most often seen in women under the age of 40?
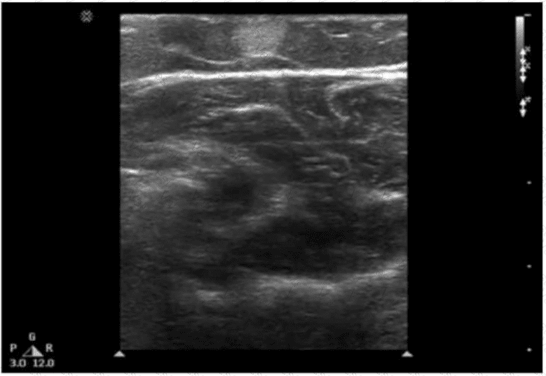
Which condition is most consistent with the sonographic appearance in this image of the abdominal wall?

Which thyroid condition is most likely caused by a viral infection?
Which technique would best assist the sonographer to verify the finding in this image obtained from the right upper quadrant?

Which characteristic is associated with complex pleural effusion?