Black Friday Special Limited Time 70% Discount Offer - Ends in 0d 00h 00m 00s - Coupon code: validbest

Pass the ARDMS SPI SPI Questions and answers with ValidTests

Exam SPI All Questions
Exam SPI Premium Access

View all detail and faqs for the SPI exam

Viewing page 1 out of 6 pages
Viewing questions 1-10 out of questions
Questions # 1:

What are two types of cavitation in tissue?

Options:

A.

Heat and transient

B.

Thermal and mechanical

C.

Stable and transient

D.

Thermal and stable

Questions # 2:

What is the effect on the Doppler spectral waveform when sampling a vessel at a greater depth?

Options:

A.

Increased aliasing

B.

Higher Doppler shifts

C.

Higher velocity measurements

D.

Increased signal strength

Questions # 3:

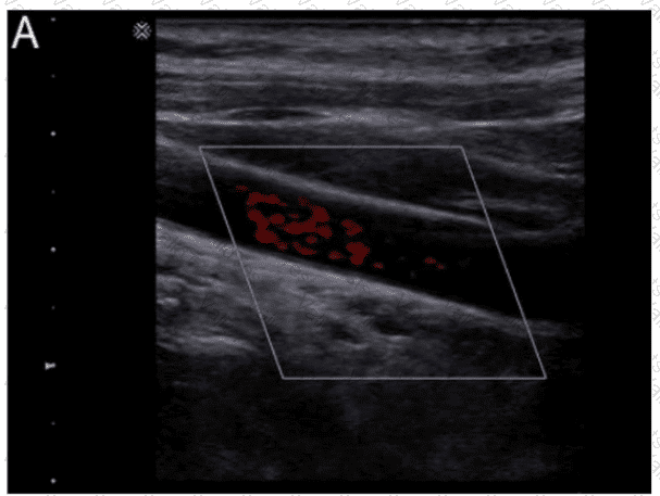
What adjustment is needed to optimize the color in the image below?

Question # 3

Options:

A.

Decrease gain

B.

Increase wall filter

C.

Decrease persistence

D.

Increase pulse repetition frequency

Questions # 4:

What is the primary interaction that occurs when sound waves encounter a smooth, flat surface?

Options:

A.

Attenuation

B.

Reflection

C.

Diffraction

D.

Interference

Questions # 5:

What is required when interrogating higher blood velocities at angles closer to zero degrees?

Options:

A.

Increased Doppler wall filter settings

B.

Decreased Doppler wall filter settings

C.

Increased Doppler scale settings

D.

Decreased Doppler scale settings

Questions # 6:

Which factor improves axial resolution?

Options:

A.

Wider beam

B.

Greater depth of field

C.

Shorter wavelength

D.

Increased aperture size

Questions # 7:

Which spectral Doppler finding can occur when using a low pulse repetition frequency setting?

Options:

A.

Spectral broadening

B.

Range ambiguity

C.

Aliasing

D.

Dropout

Questions # 8:

What is the result of an increase in spatial pulse length?

Options:

A.

Improved axial resolution

B.

Degraded axial resolution

C.

Improved lateral resolution

D.

Degraded lateral resolution

Questions # 9:

If the speed of sound in a medium is less than the average speed of sound in soft tissue, where will the echo be placed on an image?

Options:

A.

Too shallow

B.

Not visualized

C.

Laterally

D.

Too deep

Questions # 10:

What is an advantage of using pulsed wave Doppler as compared to using continuous wave Doppler?

Options:

A.

Higher echo sensitivity

B.

Ability to select sample depth

C.

Decreased display of aliasing

D.

Improved temporal resolution

Viewing page 1 out of 6 pages
Viewing questions 1-10 out of questions